Ντοκουμέντα: Η βία κατά των γυναικών σε ακτίνες Χ
Ντοκουμέντα: Η βία κατά των γυναικών σε ακτίνες Χ
Από τον Δεκέμβριο του 1991, με απόφαση της Γενικής Συνέλευσης του ΟΗΕ, η 25η Νοεμβρίου θεωρείται «Διεθνής ημέρα για την εξάλειψη της βίας κατά των γυναικών». Με αυτόν τον τρόπο ο Οργανισμός υπογράμμισε την ανάγκη τερματισμού του φαινομένου που ακόμη ταλανίζει όλες τις κοινωνίες, ακόμη και τις πιο εξελιγμένες
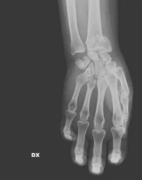
Με την ευκαιρία αυτή, στο μιλανέζικο νοσοκομείο Σαν Κάρλο και με πρωτοβουλία της ιατρού Μαρία Γκράτσια Βανταντόρι, 59 ετών, χειρουργού επί 26 χρόνια εκεί, γίνεται έκθεση ακτινογραφιών γυναικών οι οποίες προσήλθαν στο νοσοκομείο κατόπιν σοβαρού τραυματισμού τους. Οι ακτινογραφίες, λέει η ιατρός στη ρεπόρτερ της La Repubblica, δείχνουν την οικογενειακή βία που υφίστανται οι γυναίκες.
«Εδώ είναι η καθημερινή φρίκη που αντικρίζουμε στα έκτακτα περιστατικά. Συχνά οι τραυματισμένες γυναίκες δεν έχουν τη δύναμη να πουν τι τους έχει συμβεί, αλλά τα σώματά τους και τα τραύματά τους μιλούν από μόνα τους». Η ιατρός περιγράφει τα συνήθη: «Σπασμένα οστά σε μύτη, χέρια, πόδια, πληγές από μαχαιριές, εγκαύματα, μελανιές και άλλα σημάδια στραγγαλισμού». Αλλά και τα ασυνήθη: «Μέχρι και με ένα μαχαίρι καρφωμένο στην πλάτη της μας ήρθε μια γυναίκα».

Ετσι η Βανταντόρι αποφάσισε να εκθέσει «εικόνες από έναν αόρατο πόλεμο που διεξάγεται καθημερινώς πίσω από τους τοίχους των σπιτιών», δηλαδή τις ανώνυμες ακτινογραφίες οι οποίες δείχνουν τα βασανιστήρια που υπέστησαν οι γυναίκες «από συζύγους, πρώην συζύγους, συντρόφους». Η ρεπόρτερ του ιταλικού φύλλου χαρακτηρίζει την έκθεση «ακραία και τραγική».
«Ολα αυτά τα χρόνια στην πρώτης γραμμής κλινική ιατρική, έχω δει χιλιάδες ακτινογραφίες γυναικών με κάθε είδους τραύματα, ακόμη και πολύ σοβαρά. Πολλές από αυτές τις γυναίκες αρνήθηκαν ότι τα τραύματά τους τα προξένησαν οι σύζυγοι ή άλλα μέλη της οικογενείας τους. Η άρνησή τους σχετίζεται με αρνητικά συναισθήματα, με φόβο, ντροπή, αγωνία για την τύχη των παιδιών τους ή και για τη ζωή τους ακόμη». Η ιατρός περιέγραψε και το τρομερό περιστατικό με το καρφωμένο στην πλάτη μαχαίρι.
«Πρέπει να ξέρουμε πώς να αποκρυπτογραφήσουμε τις σιωπές των γυναικών που υπέστησαν βία. Τα σημάδια στραγγαλισμού στον λαιμό, επί παραδείγματι, είναι πολύ δύσκολο να αιτιολογηθούν με την επίκληση κάποιας πτώσης, από τις σκάλες λόγου χάρη. Δείχνουν ότι βρισκόμαστε στον προθάλαμο του φόνου. Ετσι, το επόμενο βήμα μετά τα έκτακτα περιστατικά είναι το ειδικό τμήμα του νοσοκομείου όπου οι γυναίκες μπορούν να βρουν μία λύση: ένα προσωρινό καταφύγιο, τον χωρισμό και το διαζύγιο, την ψυχολογική υποστήριξη».

Την έκθεση των ακτινογραφιών υποστηρίζουν οργανώσεις και δίκτυα αλληλοβοηθείας για κακοποιημένες γυναίκες. Η Σιμόνα Λαντσόνι, αντιπρόεδρος σε μία τέτοια οργάνωση, λέει στη Repubblica: «Θέλαμε να δημιουργήσουμε έναν κλοιό προστασίας γύρω από τις γυναίκες, ζητώντας και την πραγματική εφαρμογή της ‘Σύμβασης της Ιστανμπούλ’». (Η ‘Σύμβαση της Κωνσταντινούπολης’ δεν είναι τίποτε άλλο από τη Σύμβαση του Συμβουλίου της Ευρώπης περί πρόληψης και καταπολέμησης της βίας κατά των γυναικών και της ενδοοικογενειακής βίας, η οποία ενισχύει την ποινική νομοθεσία για την αντιμετώπιση τέτοιου είδους εγκλημάτων.)
Η ιταλίδα ρεπόρτερ κλείνει το θέμα της με ένα υστερόγραφο της ιατρού Βανταντόρι: «Εχω δει αστές που σφαγιάστηκαν από τους συζύγους τους. Εχω δει και πάμφτωχες μετανάστριες με σπασμένα κόκαλα. Η βία μέσα στο σπίτι αφορά τους πάντες…»
Ακολουθήστε το Protagon στο Google News
